Cirujano de cadera en Rosario – Dr. Pablo Mariani Rovea
Traumatólogo subespecialista en cirugía de cadera. Artroplastia primaria y de revisión, displasias y planificación 3D con biomodelos personalizados para resultados óptimos.
Cirugía de cadera
Tratamiento definitivo para artrosis, fracturas y displasias. Cada caso es evaluado con un enfoque personalizado y tecnología de vanguardia.
¿Para qué sirve la cirugía de cadera?
La artrosis, las fracturas y la displasia degeneran el cartílago y limitan tu movilidad. La cirugía de cadera es el único tratamiento definitivo que recupera tu independencia y alivia el dolor crónico.
¿Cuándo debería operarme la cadera?
Si el dolor te impide caminar, subir escaleras o realizar tareas cotidianas, es el momento de dar el paso. Evaluamos tu caso con estudios 3D y biomodelos personalizados para planificar cada movimiento con precisión milimétrica.
¿Cuál es el objetivo de la cirugía?
Devolverte calidad de vida sin sorpresas: optimizamos el alineamiento del implante, minimizamos el sangrado y reducimos el tiempo de recuperación para que vuelvas a tu rutina con total confianza.
Actualización continua en cirugía de cadera
Participación en congresos y cursos cadavéricos orientados a técnicas de vanguardia como el abordaje anterior directo.


Tu cirugía paso a paso
Desde la preparación hasta la recuperación completa, te acompañamos en cada etapa.
Antes de la cirugía
Todo lo que necesitás saber antes de operarte: estudios preoperatorios, medicación a suspender, ayuno, qué llevar al sanatorio y cómo preparar tu hogar para la recuperación. Estar bien preparado marca la diferencia.
Ver más →Estudios prequirúrgicos
Antes de la cirugía necesitarás realizarte: radiografías de cadera, análisis de sangre y orina completos, electrocardiograma, evaluación cardiológica y, en algunos casos, una tomografía para la planificación 3D con biomodelos.
Medicación
Es fundamental informar al equipo médico sobre todos los medicamentos que tomás. Algunos anticoagulantes o antiinflamatorios deben suspenderse días antes de la cirugía según indicación médica.
Preparación el día previo
Realizá un baño con jabón antiséptico la noche anterior y la mañana de la cirugía. No rasures ni depiles la zona quirúrgica. Recordá presentarte con ayuno total de sólidos y líquidos según indicación.
¿Qué llevar al sanatorio?
Llevá ropa cómoda y holgada, pantuflas cerradas con suela de goma, elementos de higiene personal, DNI y documentación médica. También es útil llevar bastones canadienses o andador si ya los tenés.
Durante la internación
La internación dura entre 1 y 2 días. Desde el momento en que salís del quirófano, el equipo médico y de kinesiología está con vos. Al día siguiente ya comenzás a caminar — ese es nuestro objetivo.
Ver más →La cirugía
El procedimiento dura entre 1 y 2 horas aproximadamente. Se realiza bajo anestesia raquídea o general, según tu caso. Con la planificación 3D, cada paso está anticipado para mayor seguridad y eficiencia.
Primeras horas
Al salir del quirófano permanecerás en reposo con las piernas separadas mediante una almohada. Tendrás una vía para medicación y control del dolor. El equipo médico monitoreará tu evolución de cerca.
Primeros pasos
Al día siguiente de la cirugía, con ayuda del kinesiólogo, comenzarás a sentarte y dar los primeros pasos. La movilización temprana es clave para una buena recuperación.
Duración de la internación
La internación habitual es de 2 a 3 días. Antes del alta, el equipo médico se asegurará de que puedas caminar con asistencia y te dará todas las indicaciones para continuar la recuperación en casa.
Luego del alta hospitalaria
Los primeros días en casa son parte del proceso. Te explicamos los cuidados de la herida, los ejercicios permitidos, qué movimientos evitar y cuándo podés retomar cada actividad — siempre con seguimiento personalizado.
Ver más →Cuidados de la herida
Mantené la herida limpia y seca. Los puntos se retiran generalmente entre los 14 y 21 días. Controlá signos de infección como enrojecimiento excesivo, hinchazón o fiebre.
Movilidad y precauciones
Usarás bastones canadienses o andador durante las primeras 4 a 6 semanas. Evitá cruzar las piernas, sentarte en sillas muy bajas y agacharte más de 90 grados. Dormí boca arriba con una almohada entre las piernas.
Rehabilitación
Comenzarás kinesiología a domicilio luego de la extracción de puntos, y posteriormente rehabilitación ambulatoria. Los ejercicios son fundamentales para recuperar fuerza y movilidad.
Vuelta a la rutina
La mayoría de los pacientes retoman sus actividades habituales entre las 6 y 12 semanas. Actividades de bajo impacto como caminar, nadar o andar en bicicleta fija son recomendables. Consultá siempre antes de retomar deportes.
Planificación 3D con biomodelos
Utilizamos tecnología de impresión 3D para crear modelos exactos de tu anatomía antes de la cirugía. Esto nos permite planificar cada detalle con precisión milimétrica y reducir significativamente el tiempo quirúrgico.
Precisión milimétrica
Guías de corte personalizadas basadas en tu anatomía real.
Menor tiempo quirúrgico
La planificación previa reduce significativamente la duración de la cirugía.
Restauración del centro de rotación
Optimizamos el alineamiento del implante para mejor funcionalidad y duración.
Biomodelos impresos, segmentación digital y planificación 3D aplicada a cirugía de cadera
Charla sobre Planificación 3D
Presentación completa sobre planificación 3D con biomodelos en cirugía de cadera
Cirugía bilateral de cadera en un tiempo
Cuando ambas caderas están afectadas, es posible reemplazarlas en una misma cirugía. Este abordaje, reservado para pacientes seleccionados, ofrece beneficios significativos frente al reemplazo en dos etapas.
Una sola cirugía, una sola anestesia
Se reemplazan ambas caderas en un único acto quirúrgico, evitando la exposición a dos anestesias separadas y reduciendo el riesgo acumulado.
Una sola internación
El paciente transita una única hospitalización en lugar de dos, lo que reduce significativamente los costos y el impacto en su vida cotidiana.
Rehabilitación simultánea
Ambas caderas se rehabilitan al mismo tiempo, acortando el período total de recuperación y permitiendo un retorno más rápido a las actividades habituales.
Menor costo global
Al concentrar el procedimiento en una sola instancia, se reducen los costos hospitalarios, de quirófano, anestesia y estudios complementarios.
Menos complicaciones
Estudios con más de 100.000 pacientes demuestran que la cirugía bilateral simultánea presenta tasas de complicación comparables o menores que el procedimiento en dos tiempos.
Selección cuidadosa
Este procedimiento se indica en pacientes jóvenes o de mediana edad con buen estado general de salud. Se realiza una evaluación preoperatoria exhaustiva para garantizar la seguridad.
¿Para quién está indicada?
La cirugía bilateral en un tiempo es una opción para pacientes con artrosis bilateral, displasia de cadera, artritis reumatoide o necrosis avascular que afectan ambas caderas. Es especialmente beneficiosa para personas activas que necesitan minimizar el tiempo fuera de sus actividades laborales y personales. Cada caso se evalúa de forma individual, considerando edad, estado cardiovascular, índice de masa corporal y condiciones asociadas para determinar si es la mejor alternativa.
Resultados de cirugía bilateral en un tiempo
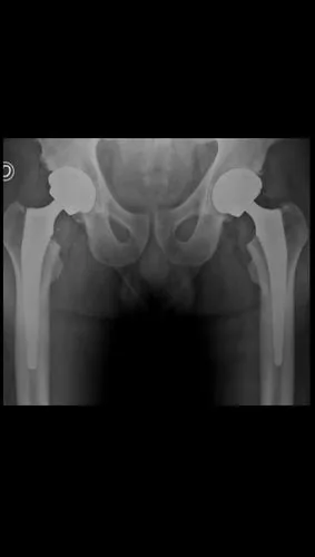
Preoperatorio
Postoperatorio
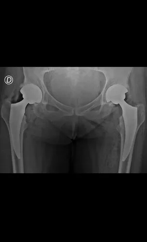
Artroplastia total bilateral de cadera en un solo tiempo quirúrgico. Alta hospitalaria a las 24 horas, deambulando con andador. Excelente restauración de la biomecánica articular bilateral.
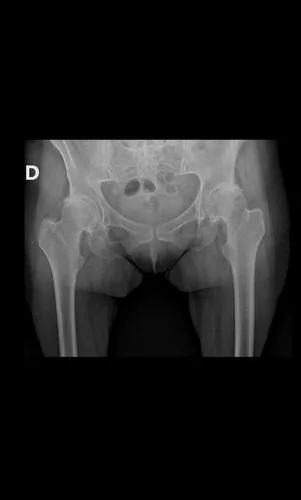
Preoperatorio
Postoperatorio
Reemplazo bilateral de cadera en un tiempo. Internación de 24 horas con alta deambulando con andador. Resolución completa del dolor bilateral y recuperación funcional temprana.
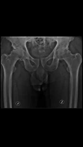
Preoperatorio
Postoperatorio
Artroplastia bilateral simultánea con utilización de tallo femoral acortado (short stem). Esta opción preserva mayor stock óseo y facilita una fijación biológica óptima. Alta a las 24 horas caminando con andador.
Resolvé tus dudas sobre la cirugía de cadera
Respuestas claras sobre reemplazo total de cadera, prótesis de cadera en Argentina, planificación 3D de cadera en Rosario y cirugía de cadera sin cortar músculos.
¿Cuánto dura la cirugía de reemplazo de cadera?
La cirugía de reemplazo total de cadera dura entre 1 y 2 horas, aunque el tiempo varía según la complejidad del caso. Gracias a la planificación 3D con biomodelos, el tiempo quirúrgico se reduce considerablemente, ya que cada detalle del procedimiento —selección del implante, angulación y posicionamiento— está definido con precisión milimétrica antes de entrar al quirófano.
¿Cuántos días de internación requiere una prótesis de cadera?
La internación habitual después de un reemplazo de cadera es de 1 a 2 días. Al día siguiente de la cirugía, el paciente ya comienza a ponerse de pie y a caminar con asistencia del kinesiólogo, lo que acelera la recuperación y reduce complicaciones asociadas al reposo prolongado.
¿Cuándo puedo volver a caminar normalmente después de un reemplazo de cadera?
La recuperación depende de cada paciente, pero en general se utilizan bastones canadienses o andador durante las primeras 2 a 4 semanas. La mayoría de los pacientes retoman sus actividades cotidianas —incluyendo caminar sin asistencia— entre las 6 y las 12 semanas posteriores a la cirugía.
¿Qué es la planificación 3D con biomodelos en cirugía de cadera?
La planificación 3D con biomodelos es una tecnología de vanguardia que consiste en imprimir en 3D un modelo físico exacto de la cadera del paciente, obtenido a partir de una tomografía computada. Este modelo permite al cirujano planificar el procedimiento con una precisión que no es posible solo con imágenes digitales: se selecciona el implante ideal, se anticipa cada paso quirúrgico y se minimizan los imprevistos durante la operación.
¿Cuánto dura una prótesis de cadera?
Los implantes modernos de cadera tienen una vida útil estimada de 20 a 30 años o más, dependiendo del nivel de actividad del paciente y del tipo de implante utilizado. La colocación precisa mediante planificación 3D maximiza la durabilidad del implante al garantizar el posicionamiento óptimo desde el primer día.
¿Hay diferencia entre una prótesis de cadera nacional y una importada?
Sí, existen diferencias significativas. Las prótesis importadas de marcas de referencia mundial están fabricadas con materiales de mayor pureza, someten sus componentes a controles de calidad estrictos y cuentan con respaldo científico de estudios clínicos a largo plazo. Esto se traduce en mayor precisión de ajuste, menor desgaste y mejores resultados funcionales tanto en el postoperatorio inmediato como en el largo plazo.
¿Qué estudios se necesitan antes de una cirugía de cadera?
Para la evaluación preoperatoria de un reemplazo de cadera habitualmente se solicitan: radiografías de pelvis y cadera en carga, análisis de sangre y orina, electrocardiograma, evaluación cardiológica e infectológica. En casos más complejos o cuando se realiza planificación 3D, se agrega una tomografía computada de la cadera. En la consulta se indicará el protocolo específico para cada paciente.
¿Qué es el abordaje anterior directo (DAA) en reemplazo de cadera?
El abordaje anterior directo (DAA, por sus siglas en inglés) es una técnica quirúrgica mínimamente invasiva que accede a la articulación de la cadera por la cara anterior del muslo, sin seccionar ningún músculo. Al preservar la musculatura glútea, se logra una recuperación más rápida, menor dolor postoperatorio, mayor estabilidad de la prótesis y un riesgo significativamente menor de luxación en comparación con abordajes convencionales.